거미스마일 치료

웃을 때 과도하게 보이는 잇몸을

자연스럽고 아름답게 만드는 치료방법입니다.

심리적인 콤플렉스로 이어질 수 있는 거미스마일
원인에 근거한 체계적인 치료

거미스마일이란?


거미스마일은 웃을 때 잇몸이 

지나치게 노출되는 상태를 의미합니다. 


이는 잇몸을 뜻하는 Gummy와 

미소를 뜻하는 Smile의 합성어로


조금 더 전문적으로 접근하면

웃을 때 잇몸이 3mm 이상으로 

과도하게 보이는 경우를 말합니다.

거미스마일 치료

예쁜 미소는 첫인상을 결정짓는 중요한 요소 중 하나입니다. 

하지만 웃을 때 잇몸이 과도하게 드러나거나 

치아가 짧아 보인다면 

미소가 주는 긍정적인 인상이 줄어들 수 있습니다. 


이러한 이유로 많은 분들이 거미스마일을

심리적인 콤플렉스로 느끼고, 

자신감을 잃는 경우가 많습니다.


이때 잇몸절제술, 구강전정술, 보톡스 주사 등으로

치아와 잇몸의 정상적인 비율을 회복할 수 있습니다.

대표적인 치료 방법


01

잇몸이 치아를 과도하게 덮는 경우

(잇몸절제술)

정상치아의 비율은 가로0.7~0.9 : 세로 1 정도이지만
이 비율에 미치지 못하는 경우 과도한 잇몸 조직을 제거하여
 아치모양으로 둥글게 만드는 잇몸절제술이 필요합니다.


02

웃을 때 윗입술이 말려 올라가는 경우

(구강전정술)

구강전정술은 수술적 치료법으로
윗입술이 상방으로 과도하게 올라가는 것을 제한함으로써
 웃을 때 잇몸이 과다하게 노출되는 것을 줄여주는 수술입니다.


03

입 주위 근육의 과도한 수축

(거미스마일 보톡스)

윗입술 주위의 근육 이상으로도 거미스마일이 생길 수 있는데
이럴때는 직접적으로 보여지는 잇몸을 수술하기 보다,
 보톡스로 근육의 힘을 조절하여 증상을 개선하는 방법이 있습니다.


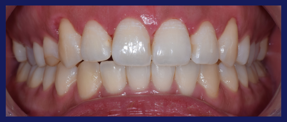
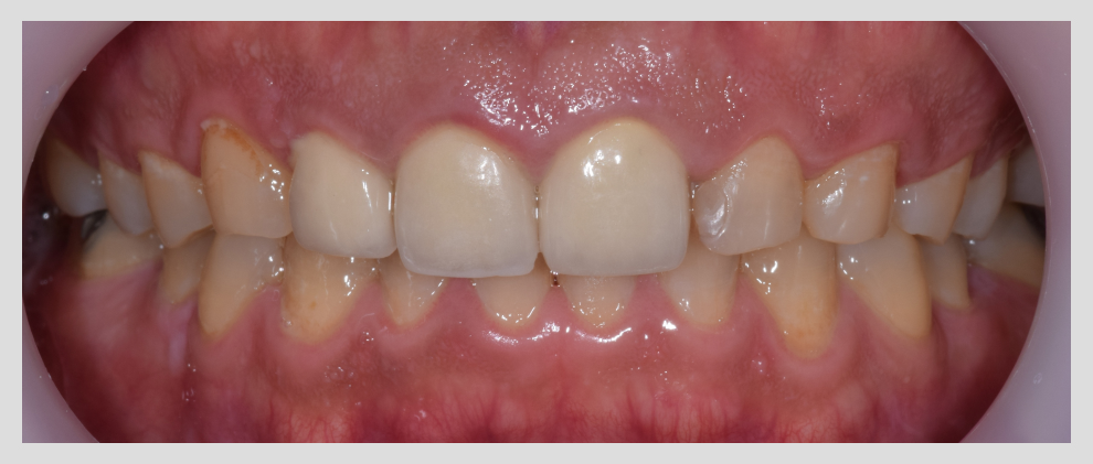
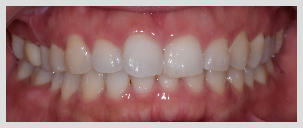
잇몸절제술 진행사례

Before
After
Before
After
Before
After

수성아이비치과는 물방울 레이저를 통해

잇몸을 안전하게 절제하면서

환자분의 나이, 성별, 이미지 등을 고려해

자연스럽고 심미적인 결과를 목표로 합니다.

물방울 레이저
수술의 장점

1. 환자분께 편안한 치과 진료를 제공해 줄 수 있습니다.
2. 환자분의 치과에 대한 공포감을 줄여 줍니다.
3. 많은 경우 무마취로 무통 시술이 가능합니다.
4. 시술 후 바로 정상 식이 및 구강활동이 가능합니다.
5. 시술 후 부작용이 최소화됩니다. (동통, 붓기, post-operative infection)
6. 열과 진동으로 인한 조직 손상이 없습니다.
7. 상대적으로 회복기간이 빠릅니다.
8. 환자의 병원 방문 회수가 단축됩니다.
9. 귀에 거슬리는 소음이 적습니다.
10. 임산부, 고혈압, 당뇨, 심장질환 등이 있는 환자에게도 시술이 가능합니다.

물방울 레이저 수술의 장점

1. 환자분께 편안한 치과 진료를 제공해 줄 수 있습니다. 
2. 환자분의 치과에 대한 공포감을 줄여 줍니다. 
3. 많은 경우 무마취로 무통 시술이 가능합니다. 
4. 시술 후 바로 정상 식이 및 구강활동이 가능합니다. 
5. 시술 후 부작용이 최소화됩니다. (동통, 붓기, post-operative infection) 
6. 열과 진동으로 인한 조직 손상이 없습니다. 
7. 상대적으로 회복기간이 빠릅니다. 
8. 환자의 병원 방문 회수가 단축됩니다. 
9. 귀에 거슬리는 소음이 적습니다. 
10. 임산부, 고혈압, 당뇨, 심장질환 등이 있는 환자에게도 시술이 가능합니다. 


수성아이비치과  |  대표자명 : 심재용  |  대구광역시 수성구 명덕로 422, 8층(수성동2가)  |  사업자등록번호 : 707-94-01642

COPYRIGHT BY SUSEONG IB DENTAL CLINIC. ALL RIGHTS RESERVED.


심재용    707-94-01642

대구광역시 수성구 명덕로 422, 8층(수성동2가) 

COPYRIGHT BY SUSEONG IB DENTAL CLINIC.

ALL RIGHTS RESERVED.