잇몸 미백

치주과 전문의가 물방울 레이저를 통해

자연스러운 선홍빛 잇몸을 되찾아 드립니다.

까맣게 변색 된 잇몸을 

예전과 같이 분홍빛 잇몸으로 잇몸 미백

잇몸 미백

치잇몸에 생긴 어두운 착색을 제거하여 자연스러운 분홍빛 잇몸으로 회복시키는 시술입니다. 


흡연, 태양광선의 과다한 노출, 착색 등 다양한 원인으로 인해 잇몸에 어두운 착색이 생길 수 있으며, 이를 효과적으로 해결합니다. 

피부에 박피술을 하듯, 잇몸 표면을 소량 박피술을 시행하는 시술로 1-2주일 후면 그 효과를 확인할 수 있어 빠른 결과를 원하는 환자들에게 적합합니다.

잇몸 미백

잇몸 미백술은 잇몸에 생긴 어두운 착색을 제거하여 

자연스러운 분홍빛 잇몸으로 회복시키는 시술입니다. 


흡연, 태양광선의 과다한 노출, 착색 등 

다양한 원인으로 인해 잇몸에 어두운 착색이 생길 수 있으며,

이를 효과적으로 해결합니다. 


피부에 박피술을 하듯, 잇몸 표면을 

소량 박피술을 시행하는 시술로 

1-2주일 후면 그 효과를 확인할 수 있어

빠른 결과를 원하는 환자들에게 적합합니다.

잇몸 착색의 주요원인


01

흡연

담배의 니코틴과 타르 성분은 잇몸에 착색을 일으키는 주요 원인입니다. 장기간의 흡연은 잇몸을 검게 변색시키며, 이는 미소의 심미성을 크게 저하시킬 수 있습니다. 


02

태양광 과다 노출

과도한 자외선 노출은 잇몸에 색소침착을 일으킬 수 있습니다. 이는 피부의 기미와 유사한 원리로, 잇몸에 멜라닌 색소가 축적되어 어두운 잇몸을 유발합니다. 


03

음식물 착색

커피, 차, 콜라, 적포도주 등 착색이 심한 음료와 음식의 지속적인 섭취는 잇몸에 착색을 일으킬 수 있습니다. 이러한 음식물 속 색소가 잇몸에 침착되어 변색을 유발합니다. 


잇몸 미백 시술과정

STEP 01

국소마취의 시행

통증의 최소화를 위해 시술 부위의 국소마취를 시행합니다. 

STEP 02

간편한 시술

레이저를 이용해 잇몸 상피부위를 제거하는 박피술을 시행하게 됩니다. 

STEP 03

밝은 잇몸의 재생

약 1-2주 후 밝은 분홍빛의 잇몸을 확인할 수 있습니다. 

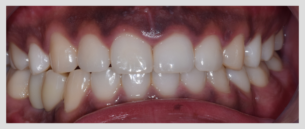
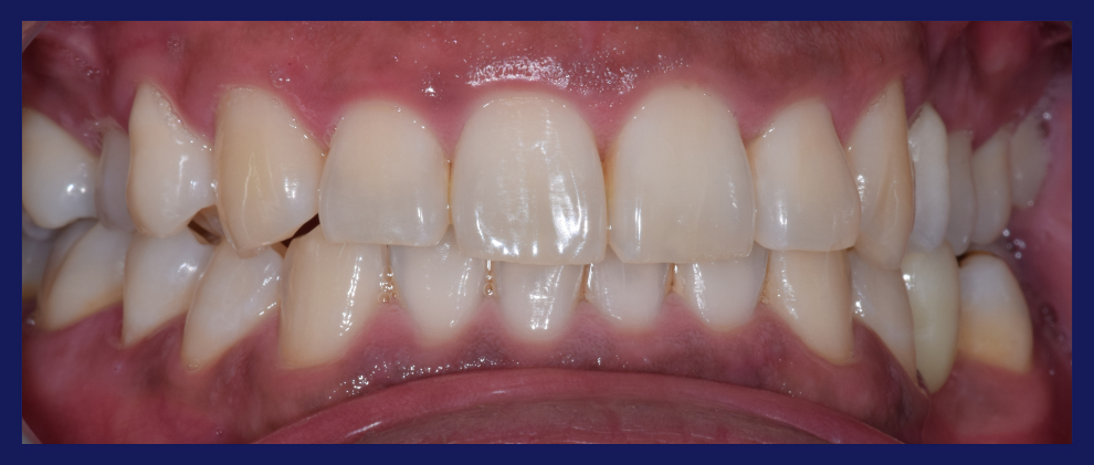
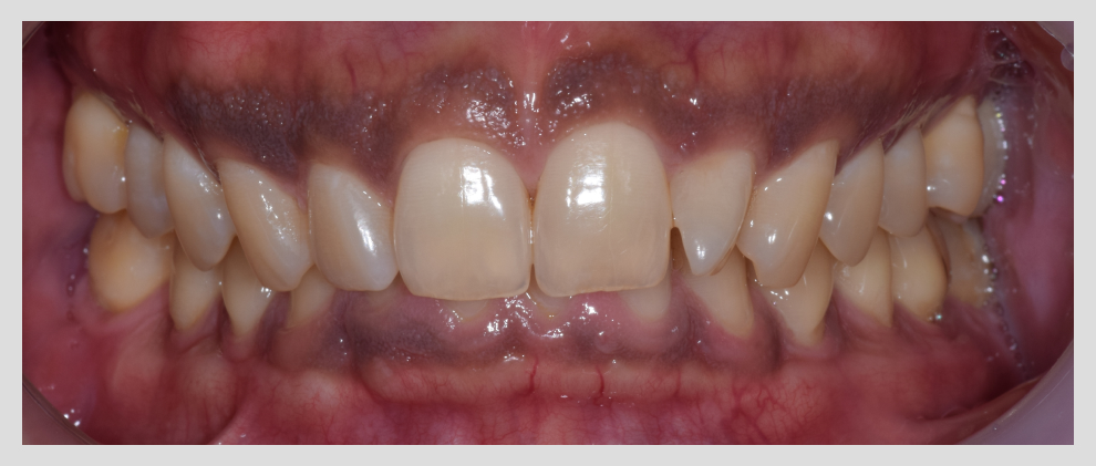
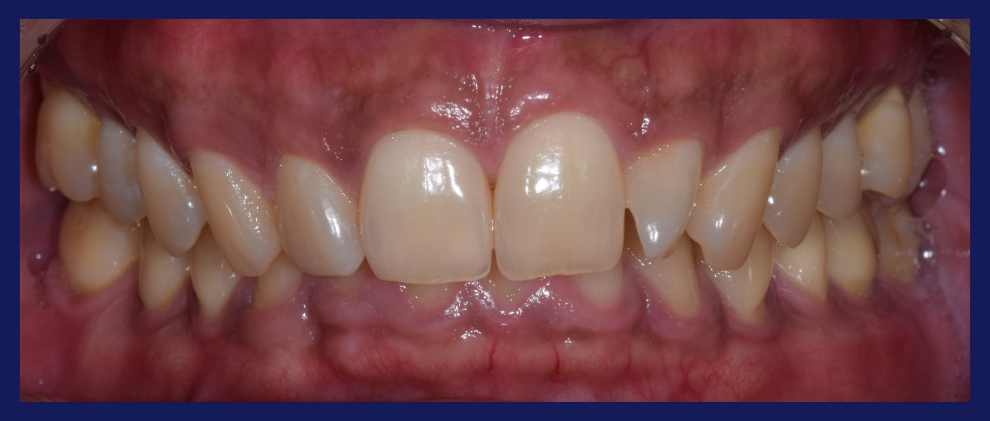
잇몸 미백 진행 사례

Before
After
Before
After
Before
After

수성아이비치과는 물방울 레이저를 통해 

안전하고 효과적인 방법으로 진행됩니다. 


치주과 전문의의 정밀한 시술로

최소한의 불편함과 최대의 효과를 제공합니다.


수성아이비치과  |  대표자명 : 심재용  |  대구광역시 수성구 명덕로 422, 8층(수성동2가)  |  사업자등록번호 : 707-94-01642

COPYRIGHT BY SUSEONG IB DENTAL CLINIC. ALL RIGHTS RESERVED.


심재용    707-94-01642

대구광역시 수성구 명덕로 422, 8층(수성동2가) 

COPYRIGHT BY SUSEONG IB DENTAL CLINIC.

ALL RIGHTS RESERVED.