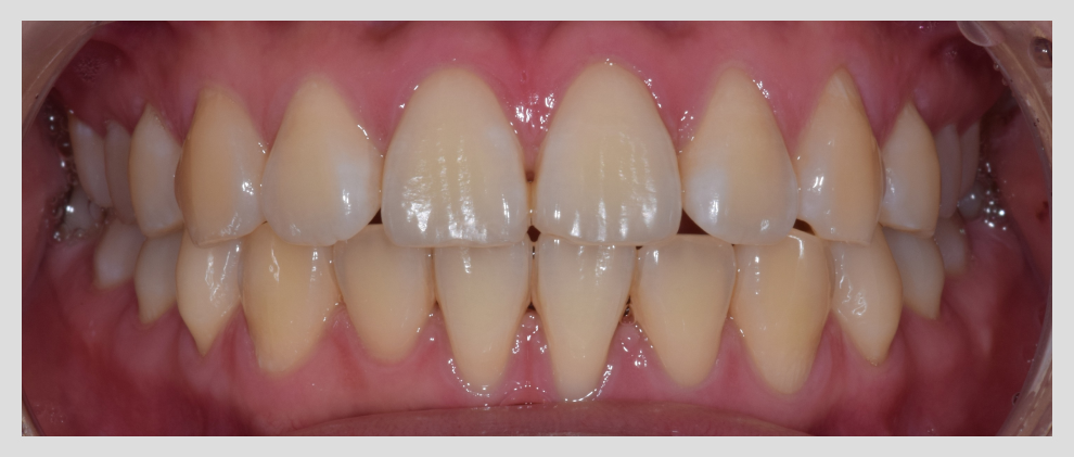
칙칙한 치아는 이제 그만!
이제는 마음껏 환하게 웃어보세요!
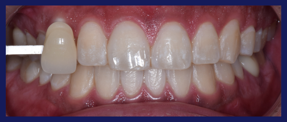
전문가 치아미백은
치과에서는 미백약제와 특수광선을 이용한
시술법으로 자가 미백에 쓰이는 미백제의 두 배
정도인 22 ~ 25%의 고농도 미백제를 사용합니다.
치아의 변색
흡연, 커피 등으로 치아가 변색된 경우
대면 활동
결혼이나 취업 등 중요한 일정을 앞둔 경우
화이트닝
한 단계 밝은 치아를 원하는 경우
자가 미백 | 전문가 미백 | |
치아에 맞는 틀을 제작하여 약제를 짜 치아에 끼웁니다. | 시술방법 | 치아에 미백젤을 도포 후 램프 특수 광선을 쏩니다. |
비교적 비용이 저렴하고 한 번 만든 틀은 계속 사용할 수 있습니다. | 장점 | 고농도 미백제 사용으로 빠른 시간 내에 미백 효과를 볼 수 있습니다. |
효과가 나타나기까지 시간이 오래 걸립니다. | 단점 | 지가 미백에 비해 비용이 비싼 편입니다. |









STEP 01
개인 치아에 맞게 트레이를
제작하여 자가 미백 시술을 준비합니다.

STEP 02
개인 트레이에 약제를 골고루
발라 준비합니다.

STEP 01
치아 색상 진단 후 스케일링 및 치료
먼저 진행을 합니다.

STEP 02
잇몸 보호제 도포하여
진행합니다.

STEP 03
트레이를 장착하여
자가 미백을 시작합니다.

STEP 03
약제 도포 후 광중합 LED
미백기로 미백제 활성화합니다.

STEP 04
일정 시간동안 유지 후
자가 미백 결과 확인합니다.

STEP 04
미백 LED 후 미백제 활성화 후
밝고 깨끗해진 치아를 확인합니다.
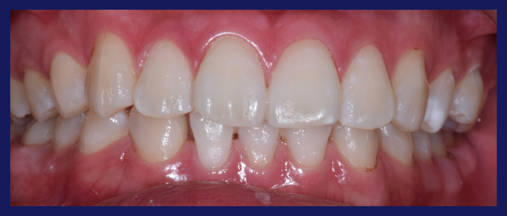
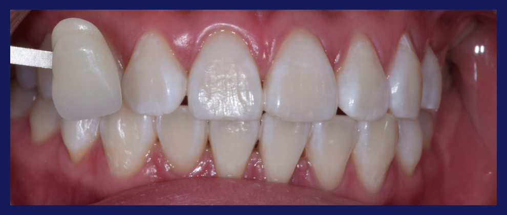
수성아이비치과는 단순히 치아의 색상 뿐만 아니라
개개인의 안모, 입술색, 미소에 맞춰
더욱 정밀하게 치아미백을 시술하고 있습니다.
수성아이비치과 | 대표자명 : 심재용 | 대구광역시 수성구 명덕로 422, 8층(수성동2가) | 사업자등록번호 : 707-94-01642
COPYRIGHT BY SUSEONG IB DENTAL CLINIC. ALL RIGHTS RESERVED.